Quebrei o punho! E agora?
Fratura de extremidade distal do rádio
O presente artigo é de extrema importância, pois abordaremos a
fratura mais comum do membro superior, com incidência de
16 a cada 10.000 pessoas. Um cirurgião de mão capacitado, deve dominar todas as opções de tratamento para as fraturas e tem como objetivo restabelecer a função do membro afetado com a menor quantidade possível de complicações.

O que ainda permanece em discussão, nos tempos atuais, é qual tipo de fratura realmente requer intervenção cirúrgica. Inúmeras pesquisas continuam em andamento, com análise radiográfica automatizada e uso de inteligência artificial mas, em minha opinião, nada substitui a avaliação criteriosa do cirurgião especialista de mão. O paciente deve ser visto como um todo e não somente como um membro fraturado.
Em minha prática clínica costumo analisar diversos fatores para definir o melhor plano de tratamento, de modo individualizado:
idade, funcionalidade do membro afetado, dominância do membro (destro, canhoto ou ambidestro), presença de comorbidades, qualidade óssea (osteoporose), prática de atividade física (especialmente em atletas de alto rendimento), desejo e expectativas do paciente, riscos cirúrgicos e, por fim, o tipo de fratura.
Caminhando nesse sentido, Kreder
et al. (2005) postularam:
"... [It] is neither the fixation nor the implant [that] dictates the outcome but the ability of the surgeon to meet the goal of satisfactory reduction with the least invasive procedure possible."
Sinais e sintomas. Como suspeitar que houve fratura do punho?
Após o trauma no punho, o paciente poderá apresentar:
- Dor (de intensidade variável)
- Edema (inchaço)
- Deformidade no punho
- Equimose (mancha arroxeada)
- Piora da dor ao realizar movimentos no punho e na mão

Típica deformidade em baioneta com encurtamento axial radial e desvio dorsal (Green's 8th ed).
O exame físico deverá ser minucioso para descartar a presença de feridas abertas no sítio da fratura, sugerindo fratura exposta. A inspeção da pele é importante, dado que a maioria das exposições ósseas ocorrem na região volar ulnar do punho. Além disso, se mostra necessário descartar uma possível síndrome do túnel do carpo aguda (descrita em até 20% dos casos), devido a compressão abrupta do nervo mediano, localizado próximo dos locais mais comumente fraturados.
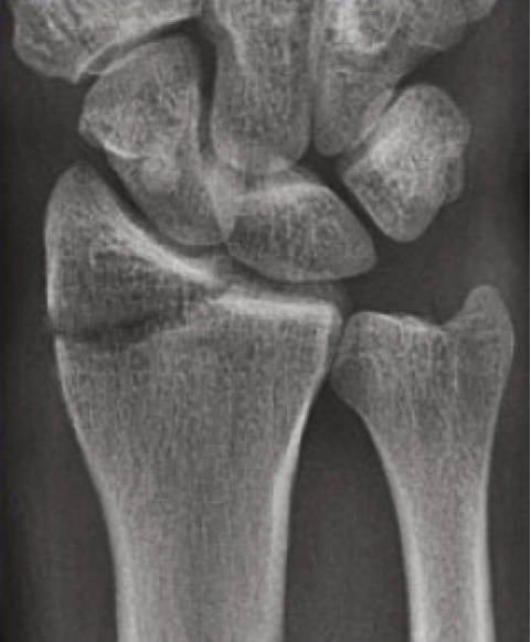
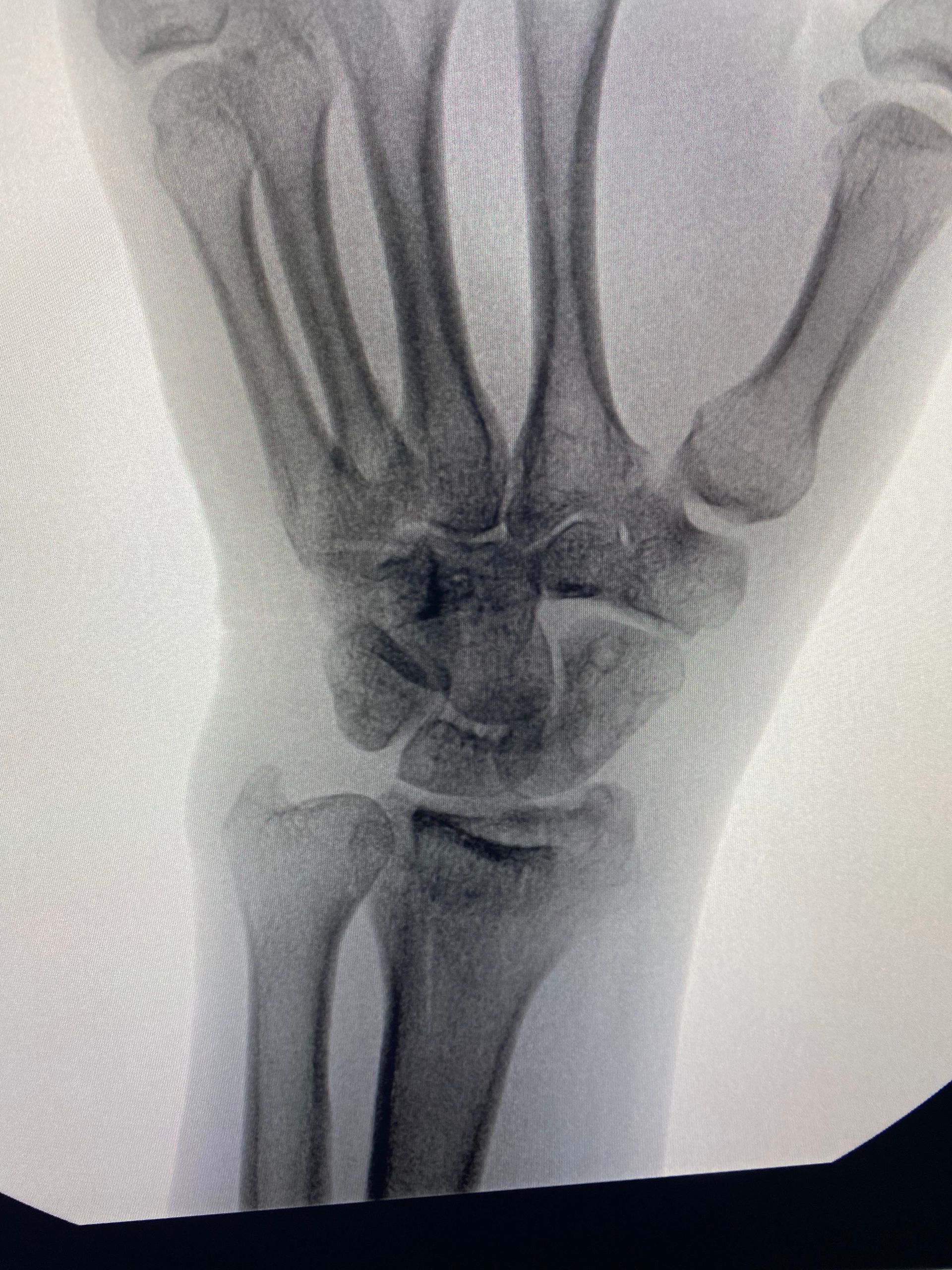
A radiografia de punho será crucial na avaliação inicial do paciente, sendo necessário as incidências póstero-anterior, perfil e oblíqua. Diversos parâmetros serão utilizados pelo cirurgião de mão para analisar a gravidade da fratura, sendo a radiografia do membro contralateral necessária em algumas situações. Da mesma forma, a
Tomografia Computadorizada poderá se mostrar útil para avaliação de traços articulares, cominuição, depressão articular ou traço se estendendo para a articulação radioulnar distal.

Parâmetros básicos radiológicos utilizados nas radiografias. A - Tilt volar, B - Inclinação radial, C - Variância ulnar.

Parâmetros radiográficos na incidência em perfil.
Epidemiologia
De acordo com Rockwood & Green (9th ed), a fratura distal de rádio possui uma
distribuição bimodal: fraturas envolvendo
alta energia em homens jovens e
baixa energia em mulheres idosas. Exemplos comuns dessa distribuição incluem homens jovens se envolvendo em acidentes automobilísticos ou vítimas de trauma durante prática de atividades esportivas e mulheres idosas apresentando queda da própria altura.
O principal
fator de risco para a fratura de punho é a
densidade mineral óssea baixa, que também é um fator preditor para futuras fraturas.
Hsu et al. (2023), mencionam os seguintes fatores de risco:
- Baixa densidade mineral óssea
- Gênero feminino
- Raça branca
- História familiar
- Menopausa precoce
Lesões associadas
Muitos pacientes com fratura da extremidade distal do rádio possuem lesões associadas, tais como:
- Lesão ligamentar (radiocarpal e intercarpal)
- Lesão do complexo fibrocartilaginoso triangular
- Lesões condrais (da cartilagem articular)
- Fratura de ossos do carpo
- Lesões neurovasculares
- Lesões de partes moles (principalmente em fraturas expostas)
Estabilidade da fratura
O tratamento de uma
fratura instável
com gesso possui alta taxa de falha, evoluindo com perda do comprimento radial, mal alinhamento carpal ou perda da congruência articular. Por definição, algumas fraturas são inerentemente instáveis, como as
fraturas cisalhantes desviadas, fraturas cominutas (fragmentadas), fraturas articulares impactadas, fraturas-luxações ou lesões combinadas com cominuição metafisária.
Um dos clássicos critérios preditor de estabilidade foi descrito por
Lafontaine
et al. (1989), que definiram
fatores de risco associados à perda da redução. Os critérios são os seguintes:
- Fratura da ulna associada
- Desvio dorsal > 20°
- Idade > 60 anos
- Cominuição dorsal
- Traço de fratura articular radiocarpal
Lafontaine recomendou que pacientes com
3 ou mais dos 5 parâmetros apresentavam fatores de instabilidade relevantes, devendo o tratamento cirúrgico ser considerado em estágio precoce.
Classificação das fraturas
O uso de
epônimos na medicina é bem comum. Trata-se de uma palavra que se usa para designar algo a partir do nome do criador. No caso das fraturas de punho, muitos autores criaram classificações que levam seus nomes, o que pode dificultar a vida dos pacientes. Em minha visão, o uso dos termos pode facilitar a comunicação entre os especialistas além de trazer à tona a história da medicina e sua evolução.
Como o Magnus Tägil outrora afirmou: "As always, the history is a great tool to understand how, why and where the contemporary treatment concepts originate from, and in particular to understand that the knowledge of today is not the end but rather a part of a continuous and incremental development of a knowledge and understanding".
Algumas das classificações mais comumente utilizadas são: Frykman, Melone, AO/OTA, Mayo, Fernandez e Medoff.

Classificação de Frykman.

Classificação de Mayo.

Classificação de Melone.
Avaliação no pronto-atendimento
As fraturas desviadas devem ser submetidas a uma manobra de
redução fechada na tentativa de alinhamento da fratura. Para esse procedimento, os ortopedistas e cirurgiões de mão costumam realizar um bloqueio analgésico local, mas outras opções também são descritas na literatura, como a sedação ou bloqueio de Bier. Após a redução, o
membro será imobilizado e uma nova série radiográfica deverá ser realizada com intuito de avaliar a qualidade da redução.
Caso a fratura esteja dentro dos critérios radiográficos aceitáveis, após a manobra de redução, o paciente deverá ser avaliado semanalmente nas primeiras 2 semanas. Se houver perda da redução nesse período ou se a redução não for bem sucedida no momento da fratura, a intervenção cirúrgica poderá ser recomendada.
Um dos critérios radiográficos mais importantes a ser analisado consiste no
mal alinhamento carpal e análise do eixo axial. De acordo com diversos estudos publicados por McQueen et al. (1996), a falha na restauração do alinhamento carpal no plano sagital pode ser considerado o fator preditivo mais importante na deterioração funcional, tanto em questões funcionais quanto em termos de recuperação de força.
Mal alinhamento carpal existe quando o eixo longitudinal do capitato e do rádio realizam intersecção fora dos limites dos ossos do carpo.

Radiografia em perfil evidenciando (a) parâmetros utilizados para avaliar a presença de mal alinhamento radiocarpal e (b) fratura deslocada evidenciando mal alinhamento radiocarpal (Ng e McQueen, 2011).
Outra alternativa para analisar a presença do mal alinhamento carpal é o método da caixa radial ("Radial box"). O centro do capitato deve estar contido dentro de uma caixa definida pela cortical volar e dorsal do rádio, em uma incidência do tipo perfil verdadeiro do punho.
Técnicas cirúrgicas
1) Redução fechada e osteossíntese
a) Fixação percutânea com hastes / pinos
É uma opção ideal para fraturas extra articulares redutíveis de modo fechado (sem necessidade de incisão cirúrgica e exposição do foco de fratura). Pode ser utilizada em fraturas sem cominuição metafisária e quando há boa qualidade óssea.New Paragraph

Diferentes técnicas de fixação percutânea de fratura de rádio. A) Hastes metálicas inseridas através do processo estilóide do rádio. B) Hastes metálicas cruzadas através da borda radial e ulnar do fragmento, fixando-o na diáfise do rádio.
C) Técnica intrafocal descrita por Kapandji.
- O procedimento é realizado no centro cirúrgico, geralmente sob bloqueio anestésico e guiado por radioscopia. Os riscos da técnica incluem lesão de tendões extensores e lesão de nervos sensitivos, particularmente ao inserir as hastes no processo estilóide do rádio.
- A técnica de Kapandji inicialmente descrita como "double intrafocal wire fixation" é muito útil em fraturas extra articulares simples sem cominuição volar. A técnica é muito útil para redução temporária da fratura mas em algumas situações, pode ser utilizada como síntese definitiva. Foi originalmente descrita com uso de 02 fios de Kirschner, um na borda radial e outro a 90° do primeiro. Benoist e Freeland (1995) descreveram o uso de um terceiro fio de Kirschner na topografia da coluna medial.

A) Um fio de Kirschner é introduzido no foco da fratura em direção radial para ulnar. Quando o fio atinge o córtex ulnar do rádio, é utilizado para elevar o fragmento radial e restabelecer a inclinação radial. Um segundo fio é introduzido 90° ao primeiro de modo similar, para corrigir e manter o "tilt" volar. B) Introdução de um terceiro fio de Kirschner, como descrito por Benoist.
b) Fixador externo
- Compõe uma das alternativas no arsenal do cirurgião de mão, geralmente utilizado em casos complexos, como fraturas expostas, cominutas graves ou em pacientes politraumatizados.
- O fixador externo pode ser utilizado como fixação temporária, otimizando as condições para um posterior procedimento definitivo. O conceito por trás da fixação externa é o uso da ligamentotaxia para redução da fratura. Muitos dos fragmentos ósseos permanecem conectados a ligamentos e partes moles e, uma vez que o comprimento do membro é restaurado, esses ligamentos conseguem tracionar os fragmentos e mantê-los reduzidos.

Representação esquemática de fixador externo no punho.
2) Redução aberta e osteossíntese
- Placa volar / dorsal
- Técnica fragmento específico
- Placa de distração ("Distraction plating technique" ou "Spanning plate")
A
placa volar se tornou a forma padrão de tratamento de maioria das fraturas distais de rádio, podendo ser utilizada tanto para fraturas articulares quanto não articulares. Quando bem manuseada, possui a capacidade de manter a redução de fraturas com desvio inicial dorsal, volar ou mesmo com deslocamento radial do fragmento distal.
A placa e os parafusos bloqueados possuem diversas vantagens:
- Redução anatômica do córtex volar facilitar a restauração do comprimento radial, inclinação e tilt volar;
- Ao evitar dissecção de fragmentos dorsais, há uma tendência de preservar o suprimento vascular dos fragmentos dorsais;
- Quando utilizada uma placa bloqueada, há menor necessidade de uso de enxerto ósseo;
A classificação de Fernandez é muito eficaz para o planejamento cirúrgico. Vamos utilizá-la para guiar os próximos passos.

Classificação de Fernandez para fraturas distais de rádio.
Fernandez tipo II - Fraturas cisalhantes
- As fraturas cisalhantes são inerentemente instáveis por conta das altas forças deformantes, evoluindo de modo desfavorável no tratamento conservador;
- O fragmento distal geralmente se encurta e migra em sentido palmar, levando a uma subluxação carpal e mal alinhamento da articulação radioulnar distal.
Exemplos de fraturas cisalhantes volares da extremidade distal do rádio. Nota-se um aumento da distância anteroposterior.
A falha na fixação e manutenção da redução do fragmento volar pode levar a uma subluxação carpal pós-operatória, necessitando de revisão da osteossíntese. Em caso de fragmentos pequenos, < 15 mm, a maioria das placas volares são inadequadas para capturar o fragmento da faceta do semilunar. Ademais, se houver avanço da placa além da borda volar do rádio, aumenta-se o risco de ruptura de tendões flexores. Mas se essa solução intraoperatória for necessária, a remoção precoce da placa será fortemente indicada.
Existe uma variação de fratura cisalhante descrita como "Chauffeur's fracture". A maioria dessas fraturas podem ser estabilizadas de forma percutânea com parafusos canulados, fios de Kirschner entre outras técnicas. Entretanto, se o fragmento estilóide radial apresentar deslocamento proximal e radial, há uma grande possibilidade de ruptura do ligamento escafossemilunar. Se houver suspeita, há indicação absoluta de análise de tal ligamento de forma artroscópica.
Fratura de Chauffeur foi assim denominada em referência a uma lesão observada em motoristas de automóveis de primeira geração, cuja ignição era realizada por uma manivela na sua parte frontal e a mesma poderia colidir sobre a borda lateral do punho, causando esse tipo de lesão.
Fernandez tipo III - Fraturas compressivas articulares
- As fraturas tipo "die-punch" são causadas por um trauma axial que causa uma depressão da superfície articular, geralmente na coluna intermediária;
- A redução da fratura de modo preciso está indicada para obtermos resultados ótimos;
- A gravidade da fratura intra articular pode ser difícil de julgar somente pela radiografia, havendo indicação da tomografia computadorizada.
Sequência de imagens na avaliação inicial, radioscopia intra operatória antes da cirurgia, durante a manobra de redução com utilização de um "Freer" e após a fixação da fratura (osteossíntese). A estratégia cirúrgica utilizada envolveu, além da placa e parafusos, o uso de um parafuso canulado introduzido pela borda radial do punho, cuja função foi sustentar o fragmento articular.
Fernandez tipo IV - Fratura avulsão ou fratura luxação radiocarpal
- Luxação radiocarpal com um pequeno fragmento avulsionado, por definição, está relacionada a uma ruptura volar e/ou dorsal dos ligamentos extrínsecos radiocarpais estabilizadores e vão, se não forem meticulosamente reparados, progredir para uma deformidade translacional volar ou dorsal
- O tratamento consiste na redução anatômica e fixação estável do processo estilóide do rádio e dos fragmentos avulsionados dorsais e volares; os ligamentos volares são reparados e âncoras serão utilizadas se houver necessidade; da mesma forma, parafusos canulados, fios de Kirschner e bandas de tensão podem ser utilizados, dependendo da preferência e experiência do cirurgião
Fernandez tipo V - Fratura combinada / complexa (Alta energia)
- São os tipos mais complexos de fraturas, geralmente relacionados a mecanismos de envolvendo alta energia;
- Em alguns centros médicos, o tratamento estagiado é recomendado, utilizando inicialmente fixador externo ou "Spanning plate" com ou sem reconstrução secundária;
- Muitas vezes, mais de uma via cirúrgica será necessária, com exposição volar e dorsal, liberação do nervo mediano, utilização de enxerto ósseo devido a cominuição metafisária e combinação de diferentes técnicas cirúrgicas: fixador externo, interno ou fixação fragmento específico
Fixação fragmento específica
- O termo fixação fragmento específico não se refere a um tipo específico de implante mas sim ao conceito do uso de dois ou mais implantes de baixo perfil posicionados estrategicamente ao longo das colunas do rádio distal, fixando individualmente os fragmentos;
- A classificação fragmento-específica foi baseada na teoria das colunas no rádio, introduzida por Robert Medoff. De acordo com ele, existem 5 fragmentos principais no rádio:
- Processo estilóide do rádio
- Parede dorsal
- Fragmento articular impactador
- Canto dorso-ulnar
- Arco volar

Fragmentos definidos por Robert Medoff.
Indicações para técnica fragmento-específica:
- Fraturas articulares
- Fraturas complexas
- Fraturas multifragmentares
- Fraturas cisalhantes
- Fraturas-luxações
- Fratura volar ulnar com subluxação carpal

Fixação de fratura de fragmento da borda volar utilizando técnica com "volar buttress pin", ultrapassando o limite de material de síntese ("watershed line").

Placa dorsoulnar para fraturas envolvendo o fragmento dorso ulnar não redutível e fixável com placa volar.
Placa de distração ("Distraction plating technique" ou "Spanning plate")
- A fratura deve ser reduzida e fixada provisoriamente, antes da montagem da placa de distração;
- As depressões intraarticulares, fragmentos volares e dorsoulnares não estão conectados com ligamentos extrínsecos e provavelmente não serão desimpactados através da distração e o princípio de ligamentotaxia;
- Após redução de tais fragmentos, uma placa de distração será utilizada fixando, preferencialmente a base do 2 metacarpo (mas o 3° metacarpo também pode ser utilizado);
- A placa deve ficar abaixo dos tendões extensores passando através do local fraturado;
- O antebraço deve ser supinado 60° durante o processo de fixação e deve-se evitar distração radiocarpal e mediocarpal excessiva;
- Proximalmente, a placa deve ser fixada com o mínimo de três parafusos bicorticais e parafusos bloqueados devem ser preferidos em ossos osteoporóticos.

Placa de distração ou "Spanning plate". Um parafuso adicional ou fio de Kirschner pode ser utilizado para redução do fragmento articular, através ou por fora da placa. Na imagem (C), posição alternativa de placa de baixo perfil 2.4 mm abaixo do 2 compartimento dorsal e fixada no 2° metacarpo.
Conclusão
A fratura distal do rádio é a mais comum do membro superior. Deve ser muito bem conduzida ou a sequela funcional poderá ser catastrófica.
Quando cirúrgico, a opção por cada uma das estratégias cirúrgicas dependerá de inúmeros fatores. Por isso, consulte seu especialista de cirurgia de mão para o diagnóstico preciso e conduta acertada.
Referências bibliográficas
- Wolfe SW, Hotchkiss RN, Pederson WC, Kozin SH, Cohen MS, Green's Operative Hand Surgery, 8th ed. Elsevier, 2022
- Rockwood and Green's fractures in adults. 9th ed. Wolters Kluwer, 2020
- Benoist LA, Freeland AE. Buttress pinning in the unstable distal radial fracture. A modification of the Kapandji technique. J Hand Surg Br. 1995;20(1):82-96
- Hsu H, Fahrenkopf MP, Nallamothu SV. Wrist Fracture. 2023 Aug 8. In: StatPearls [Internet]. Treasure Island (FL): StatPearls Publishing; 2023 Jan–. PMID: 29763147.
- Lafontaine M, Hardy D, Delince P. Stability assessment of distal radius fractures. Injury, 1989;20(4):208-210
- https://surgeryreference.aofoundation.org/orthopedic-trauma/adult-trauma/metacarpals

























