A fratura da pessoa nervosa
Um dia de fúria
Os saudosistas se lembrarão do filme de 1993 estrelado por Michael Douglas e dirigido por Joel Schumacher. Após uma sequência de decepções, o personagem passa por um colapso mental e perde a compostura, causando destruição por onde passa. Inúmeros pacientes passam por situações estressantes na vida pessoal ou no trabalho e, num momento de fúria, acabam desferindo um soco contra a mesa, a porta, a parede ou algum adversário durante prática esportiva, como uma forma de direcionamento dos seus sentimentos represados. Geralmente, o arrependimento é imediato, principalmente após descobrirem que feriram outra pessoa ou que fraturaram a mão.

A maioria dos pacientes com esse tipo de lesão são do sexo masculino e podem apresentar uma fratura denominada de Fratura do Boxeador (Boxer's Fracture).
A Fratura do Boxeador / Fratura de Boxer é muito comum e geralmente envolve do 4° e 5° metacarpos. Sua nomenclatura pode ser considerada imprópria uma vez que esse tipo de fratura raramente ocorre em boxeadores profissionais. Os mesmos possuem uma técnica correta e dificilmente fraturam a mão dessa maneira ao desferir um soco.
Esse tipo de fratura ocorre quando a pessoa, com o punho cerrado, acerta um objeto rígido e o colo do metacarpo fratura com uma angulação de ápice dorsal. A deformidade típica ocorre por 2 motivos (Green's 8th ed):
- O impacto ocorre no dorso da cabeça do metacarpo e causa cominuição da superfície palmar do colo do metacarpo;
- As forças dos músculos intrínsecos da mão, que cruzam a articulação metacarpofalangeana, agem flexionando a porção distal do metacarpo fraturado.
Hussain et al. (2020) afirmam que, mundialmente, esse tipo de fratura é a mais típica nos setores de emergência ortopédica. De todas as fraturas de mão, 33% envolvem os metacarpos, sendo a maioria delas localizadas no 5° metacarpo. As características dos pacientes com esse tipo de lesão são:
- Predominantemente do sexo masculino (92% das vezes) (Altizer, L. 2006);
- Pico de incidência por volta dos 22 anos (Greer et al., 1999);
- Muitos pacientes estão embriagados na hora do incidente;
- Se o motivo da fratura for uma crise de raiva ou descontrole, o paciente costuma ter dificuldade em admitir o mecanismo de trauma;
- Muitos referem que a fratura ocorreu após uma queda;
- Se a lesão ocorreu durante uma briga, podem haver outras lesões importantes associadas como, por exemplo, ferimentos por mordedura humana;
- Existe uma alta taxa de recorrência.
No momento do trauma, o paciente pode
ouvir um estalo e notar a rápida formação de inchaço (edema) ao redor do local fraturado. O paciente pode notar uma deformidade na borda ulnar da mão, com o
desaparecimento da 4ª e/ou 5ª junta da mão associado ao quadro de dor.
Cuidados imediatos para a fratura do boxeador
Para conforto do paciente, o paciente deve evitar movimentar a mão, principalmente no local fraturado. A mão deve ficar elevada para reduzir o edema e a crioterapia (aplicação de gelo) deve ser iniciada imediatamente.
Será fundamental buscar a avaliação do especialista que, invariavelmente, solicitará uma
série radiográfica da mão lesionada. Geralmente, as incidências necessárias são a antero-posterior (AP), oblíqua e perfil. Em alguns casos, poderá ser necessária a
tomografia computadorizada.
Unindo o exame físico com os exames de imagem, o cirurgião de mão poderá classificar o padrão da fratura em:
- Aberta ou fechada
- Intra articular ou Extra articular
- Oblíqua
- Espiral
- Transversa
- Cominuta
O exame físico será crucial para determinar a presença de lesões na pele causadas por mordedura humana (também denominado de "fight bites" que são lesões causadas pelos dentes da pessoa agredida, voluntária ou involuntariamente), além do status neurovascular, presença de pseudo garra e desvio rotacional.
Mordedura humana ("fight bites")
A saliva humana contém aproximadamente um bilhão de bactérias por mililitro (Green's
8th ed). Pode conter vírus transmissíveis, como
HIV, vírus da hepatite B e C, tétano e herpes simplex (Harrison, 2009). Devido à alta morbidade desse tipo de lesão, deve ser avaliado precocemente por um cirurgião de mão, especialmente, por conta do risco de infecção local.
Em um estudo publicado em 2009, por Mark Harrison, 421 pacientes vítimas de mordedura humana foram avaliados. As características desses pacientes eram as seguintes:
- 75% dos pacientes eram homens;
- 44% dos pacientes tinham idade entre 16 e 25 anos;
- Apenas 18% dos pacientes foram avaliados pelo especialista;
- 17% dos pacientes não receberam antibioticoterapia.
As áreas mais comumente lesionadas são a cabeça do 3° e 4° metacarpos da mão dominante. Conforme a figura, é possível observar que a lesão causada pelos dentes pode penetrar além da pele, estruturas mais profundas, colocando-as em risco de infecção.
A abordagem cirúrgica precoce é fundamental e inclui exposição ampla da ferida para exploração do tendão extensor, cápsula articular e estruturas ósseas adjacentes.
Deve ser realizada coleta do material para culturas além de limpeza intensa com soro fisiológico. Os tecidos necróticos devem ser removidos e, quando houver lesão óssea, pode haver necessidade de curetagem óssea. A lesão é deixada aberta e a antibioticoterapia endovenosa deve ser introduzida, com cobertura para Staphylococcus, Streptococcus e, principalmente, Eikenella corrodens. Avaliação periódica será crucial para definir se haverá necessidade de novas abordagens cirúrgicas.
Tanto o paciente quanto o médico devem se atentar ao fato de que esse tipo de ferimento costuma ser muito mais grave do que a apresentação inicial sugere.
Opções de tratamento para a fratura do boxeador
Diversas técnicas cirúrgicas são descritas para o tratamento de uma fratura de colo do metacarpo, desde redução aberta e osteossíntese com placa até fixação percutânea com hastes metálicas. Mas é importante ressaltar que a grande maioria das fraturas de colo do metacarpo pode ser efetivamente tratada de modo não cirúrgico.


A literatura recomenda levar diversos fatores em consideração para decisão acertada.
Indicações absolutas de tratamento cirúrgico
- Fraturas expostas
- Desvio rotacional resultando em sobreposição dos dedos*
- Pseudogarra significativa (hiperextensão da articulação metacarpofalangeana e flexão da articulação interfalangeana proximal devido a instabilidade e encurtamento da fratura), resultando em disfunção
Outros fatores importantes na decisão cirúrgica
- Dedo envolvido
- Raios mais ulnares toleram maiores graus de angulação devido à maior mobilidade da articulação carpometacarpal
- Múltiplos raios afetados são mais difíceis de serem manejados de modo não cirúrgico
- Grau de desvio da fratura
- Alguns autores defendem que o 5° raio tolera até 70° de desvio enquanto os dedos radiais toleram apenas 10 a 15° de desvio
- Quantidade de encurtamento ósseo
- Na ausência de pseudogarra, alguns estudos mostram que o paciente tolera até 1 cm de encurtamento
- Fatores relacionados ao paciente
- Alguns pacientes requerem ou necessitam de retorno mais rápido para o trabalho ou esporte
- Os fatores de risco do paciente devem ser levados em consideração, quanto ao risco cirúrgico
Opções de tratamento: Tratamento Conservador vs Cirúrgico
- Tratamento Conservador (Não cirúrgico)
Através da manobra de Jahss, a fratura pode ser reduzida e realizada a imobilização. Lembrando que o quinto dedo não deve nunca ser imobilizado na "Posição de Jahss" com ambas articulações flexionadas 90° (metacarpofalangeana e interfalangeana proximal). O dedo deve ser imobilizado na posição de intrínseco-plus ou, de acordo com estudos recentes, em posição estendida.
2. Tratamento cirúrgico
Existem diferentes opções cirúrgicas como a redução fechada e fixação percutânea, com a disposição anterógrada, retrógrada ou transversa, com uma haste metálica simples ou múltiplas hastes, sendo a extremidade das hastes mantidas expostas ou sepultadas. É impossível falarmos de tratamento cirúrgico e não mencionar Foucher que descreveu a técnica de "Bouquet", que utiliza 3 fios metálicos após confecção de orifícios na região proximal do metacarpo fraturado.


Outra alternativa de tratamento é a redução aberta e fixação da fratura, seja com hastes metálicas, placas e parafusos ou mesmo parafusos intramedulares. Do ponto de vista biomecânico, as placas se mostraram superiores no quesito rigidez e estabilidade quando comparado com fios metálicos e parafuso intramedular. Entretanto, há risco de rigidez articular e aderência tendínea por conta da presença da placa proeminente no dorso do metacarpo, que pode levar à necessidade de remoção da placa.
A técnica de parafuso intramedular é menos invasiva e foi descrita pela primeira vez em 2010, por Boulton et al. A técnica é minimamente invasiva e consiste em realizar uma incisão sobre o tendão extensor, no nível da articulação metacarpofalangeana, introduzir um fio guia e um parafuso intramedular de modo retrógrado. A fixação é rígida o suficiente para permitir movimentação ativa precoce, além de haver mínima dissecção de partes moles, menor risco de aderência tendínea, ausência de proeminência de material de síntese e ausência do risco de infecção das hastes expostas.
Em uma meta-análise realizada em 2019, Beck et al. avaliaram 169 pacientes e os resultados foram surpreendentes: 100% de união da fratura, 96% de recuperação de força de preensão palmar, 86° de flexão da articulação metacarpofalangeana e poucas complicações descritas. A crítica acerca de tal técnica cirúrgica é a violação articular por conta do acesso para introdução do parafuso. Mas a literatura não mostrou evidências de que esse ponto de introdução do parafuso traga malefícios ou prejuízos funcionais.
Em uma publicação de 2013, após análise tomográfica, foi comprovado que há apenas 12% de contato entre a base da falange proximal e o ponto de entrada do parafuso, dada a sua introdução dorsal (mesmo com a articulação metacarpofalangeana em completa extensão).
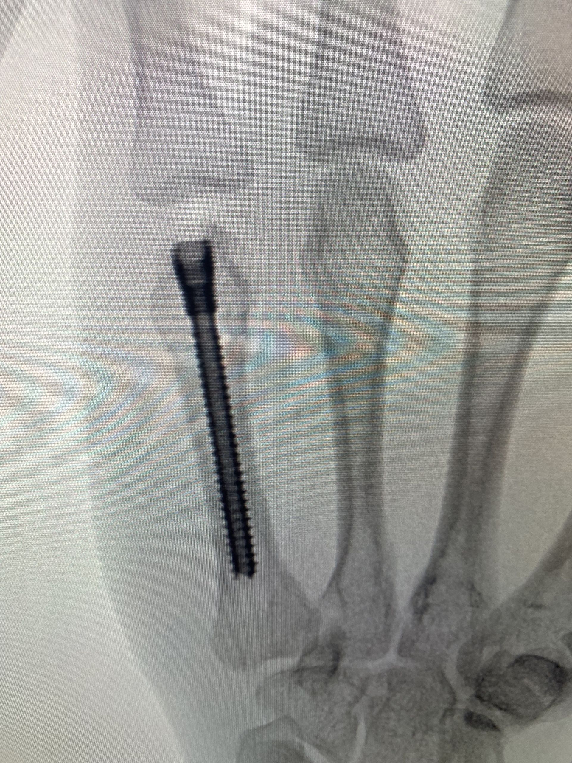
Sequência de imagens evidenciando fratura de colo do 5° metacarpo, desvio rotacional do 5° raio, redução da fratura com uso de parafuso intramedular (3 incidências intraoperatórias) e resultados clínicos no 5° dia pós operatório. O processo de reabilitação precoce permitiu que o paciente retomasse suas funções laborais e esportivas de modo mais rápido. Evoluiu com recuperação total da amplitude de movimento, força de preensão palmar e destreza para tocar seus instrumentos musicais.
Os trabalhos publicados por Francisco del Piñal foram de grande contribuição para a análise da técnica com parafusos intramedulares e sua divulgação. Em um estudo envolvendo 69 fraturas (del Piñal et al., 2015), os autores foram enfáticos em indicar a técnica nos seguintes casos:
- Fraturas transversas
- Fraturas oblíquas diafisárias curtas
Quanto maior o grau de cominuição ou obliquidade da fratura, maior a dificuldade da realização da técnica, muitas vezes exigindo variações da técnica original.
Contra-indicações absolutas incluem:
- Fraturas na presença de cartilagem fisária
- Presença de infecção local
- Não recomendada para fraturas oblíquas longas ou quando não se consegue contato parcial nas corticais diafisárias
Conclusão
Não deixe seu nível de estresse chegar ao máximo a ponto de ter um dia de fúria. A própria literatura médica refere que os pacientes com fratura do boxeador (Boxer's fracture) podem apresentar problemas para controle de sua raiva, além de altas taxas de recorrência.
Por isso, caso algum incidente ocorra, lembrar que existem diversas formas de tratamento para fraturas do colo do metacarpo.
Quando cirúrgico, a opção por cada uma das estratégias cirúrgicas dependerá de inúmeros fatores. Por isso, consulte seu especialista de cirurgia de mão para o diagnóstico preciso e conduta acertada.
Referências bibliográficas:
- Wolfe SW, Hotchkiss RN, Pederson WC, Kozin SH, Cohen MS, Green's Operative Hand Surgery, 8th ed. Elsevier, 2022
- Hussain MH, Ghaffar A, Choudry Q, Iqbal Z, Khan MN. Management of Fifth Metacarpal Neck Fracture (Boxer's Fracture): A Literature Review. Cureus. 2020 Jul 28;12(7):e9442.
- Altizer L. Boxer's fracture. Orthop Nurs. 2006 Jul-Aug;25(4):271-3; quiz 274-5.
- Greer SE, Williams JM. Boxer's fracture: an indicator of intentional and recurrent injury. Am J Emerg Med. 1999 Jul;17(4):357-60.
- Harrison M. A 4-year review of human bite injuries presenting to emergency medicine and proposed evidence-based guidelines. Injury. 2009 Aug;40(8):826-30
- Boulton CL, Salzler M, Mudgal CS. Intramedullary cannulated headless screw fixation of a comminuted subcapital metacarpal fracture: case report. J Hand Surg Am. 2010 Aug;35(8):1260-3.
- https://surgeryreference.aofoundation.org/orthopedic-trauma/adult-trauma/metacarpals
- del Piñal F, Moraleda E, Rúas JS, de Piero GH, Cerezal L. Minimally invasive fixation of fractures of the phalanges and metacarpals with intramedullary cannulated headless compression screws. J Hand Surg Am. 2015 Apr;40(4):692-700.
Continue aprendendo
Artigos relacionados























