Fraturas de Escafóide
Considerações Gerais
- O escafóide é considerado a pedra chave dos ossos do carpo. Na Arquitetura, a pedra chave é a pedra central no ápice de um arco, unindo e permitindo que todas as demais pedras formem um conjunto. Essa é uma das melhores interpretações sobre o papel do escafóide pois se o mesmo estiver comprometido, o punho inteiro poderá sofrer consequências
- Trata-se da fratura mais comum dentre os ossos do carpo (60 a 70% das fraturas), perdendo apenas para a fratura distal do rádio, se considerarmos o punho todo
- O mecanismo de trauma mais comum envolve lesões de baixa energia: trauma durante prática esportiva (59%) ou queda com punho em extensão (35%)
- A maioria dos pacientes são do sexo masculino com idade média de 25 anos (mas as fraturas de escafóide podem ocorrer em qualquer idade)

Anatomia do Escafóide
- O formato do escafóide lembra um barco ("skaphos" em Grego) e pode ser dividido em 3 regiões: pólo proximal, colo e pólo distal (tubérculo), sendo essa divisão importante para definição de conduta com relação às fraturas
Anatomia do punho (referência: www.anatomystandard.com)
- 70% das fraturas de escafóide são no colo, 20% no pólo proximal e 10% no pólo distal
- O suprimento vascular do escafóide não é robusto, sendo predominantemente retrógrado; 70 a 80% da vascularização intra óssea e do pólo proximal são oriundos de ramos da artéria radial, entrando distalmente através da crista dorsal do escafóide; a artéria radial ou o arco palmar superficial também podem emitir ramos que entram na região do tubérculo do escafóide, provendo 20-30% da vascularização no pólo distal; outras fontes de suprimento vascular incluem: ligamento radioescafossemilunar (ligamento de Testut) e ramos escafossemilunares dos arcos carpais transversos palmar e dorsal
- Devido a essas características vasculares, quanto mais proximal a fratura, maior a chance de não união ou necrose avascular
Biomecânica das Fraturas de Escafóide
- O principal mecanismo de fratura é a hiperextensão do punho > 95°; a fratura começa na região volar do colo, local onde há maior força de tensão. As forças se propagam para a superfície dorsal até a falha ocorrer
- Outros mecanismos descritos incluem carga axial no punho assim como hiperflexão
- O potencial de consolidação da fratura é multifatorial, incluindo localização da fratura (pólo proximal, colo e pólo distal), vascularização e estabilidade, sendo que o risco de não união aumenta com:
1. Atraso no tratamento > 4 semanas
2. Fraturas no pólo proximal
3. Desvio da fratura > 1 mm
4. Osteonecrose
5. Tabagismo
6. Instabilidade carpal associada secundária a deformidade em corcova ("humpback"), com ângulo intraescafóide > 45° (normal = 24°)
Possíveis evoluções clínicas
- Fraturas de colo sem desvios tratados com gesso possuem risco de não união de 5 a 12%
- Fraturas desviadas de escafóide tratadas de modo não cirúrgico possuem taxas maiores de não união, chegando a 50%
- Não uniões de escafóide, quando não submetidas a tratamento cirúrgico, previsivelmente, evoluirão para SNAC ("Scaphoid Nonunion Advanced Collapse"), um colapso avançado do carpo decorrente de Não União
- SNAC I - Alterações degenerativas no processo estilóide do rádio
- SNAC II - Degeneração da articulação escafocapitato
- SNAC III - Degeneração da articulação mediocarpal
Apresentação Clínica
- Dor e edema na borda radial do punho
- Restrição de amplitude de movimento do punho
- Dor a palpação da tabaqueira anatômica, dor no tubérculo do escafóide ou no dorso do punho, alinhado com o segundo raio, distal à borda do rádio
- O exame físico deve ser minucioso pois se 3 testes forem positivos (dor na tabaqueira anatômica, sensibilidade no tubérculo do escafóide e teste positivo para compressão axial do escafóide), há 87% a 100% de sensibilidade e 74% de especificidade para fratura do escafóide;
Exames de Imagem
- A radiografia é o exame principal, incluindo incidências posteroanterior, perfil, oblíqua e escafóide;
- Tomografia computadorizada auxilia no cálculo de desvio da fratura, análise da morfologia óssea, presença de espaçamentos, esclerose, cistos ou mesmo evidências de consolidação após o tratamento cirúrgico
- Ressonância magnética pode auxiliar em casos de suspeita de fratura oculta do escafóide (25% de chance de as fraturas não serem visíveis nas radiografias iniciais), vascularização do pólo proximal e as lesões ligamentares associadas;
Topografia da Fratura
- As fraturas do escafóide evoluem de maneira distinta, dependente da topografia da fratura. Ou seja, quanto mais distal, mais fácil o processo de consolidação.
1. PÓLO DISTAL
- Geralmente tratada de modo não cirúrgico; altas taxas de consolidação com 6 a 8 semanas de imobilização com gesso antebraquiopalmar. O tratamento cirúrgico é a exceção, quando o fragmento distal está desviado;
2. COLO
- Fraturas sem desvio do colo podem ser tratadas com imobilização gessada ou cirurgia. São múltiplos os fatores a serem considerados na decisão: taxa de consolidação, tempo de recuperação, custo efetividade, idade e nível de atividade do paciente.
- Os trabalhos mostram que a recuperação é mais rápida quando fraturas sem desvio são submetidas a tratamento cirúrgico. Da mesma forma, a cirurgia é melhor do ponto de vista custo-benefício, sendo também a opção da maioria dos pacientes jovens para que o retorno ao trabalho e esportes sejam precoces. Mas a cirurgia também é acompanhada de riscos (5% de possíveis complicações com o material de síntese e 4% de chance de não consolidação, de acordo com uma série de 129 casos - Alonso et al., 2018). Por isso que essa decisão deve ser tomada em conjunto com o especialista de cirurgia de mão;
3. PÓLO PROXIMAL
- Por si só, são consideradas instáveis por muitos, independente de haver desvio da fratura ou não. Isso por conta da vascularização pobre na região proximal do escafóide. O risco de não união em tratamento com gesso chega a 34% e cai para 2% no tratamento cirúrgico. Comparado com o colo e pólo distal, há 7,5x mais chances de haver não união
- Portanto, se há sinais de instabilidade da fratura*, há indicação de cirurgia. Em casos de fraturas estáveis, há necessidade de discussão entre o médico e o paciente.
*Os critérios de instabilidade incluem: Desvio > 1 mm, ângulo intraescafóide > 35°, perda óssea ou cominuição, fratura luxação perissemilunar e padrão de instabilidade DISI.
Técnica Cirúrgica
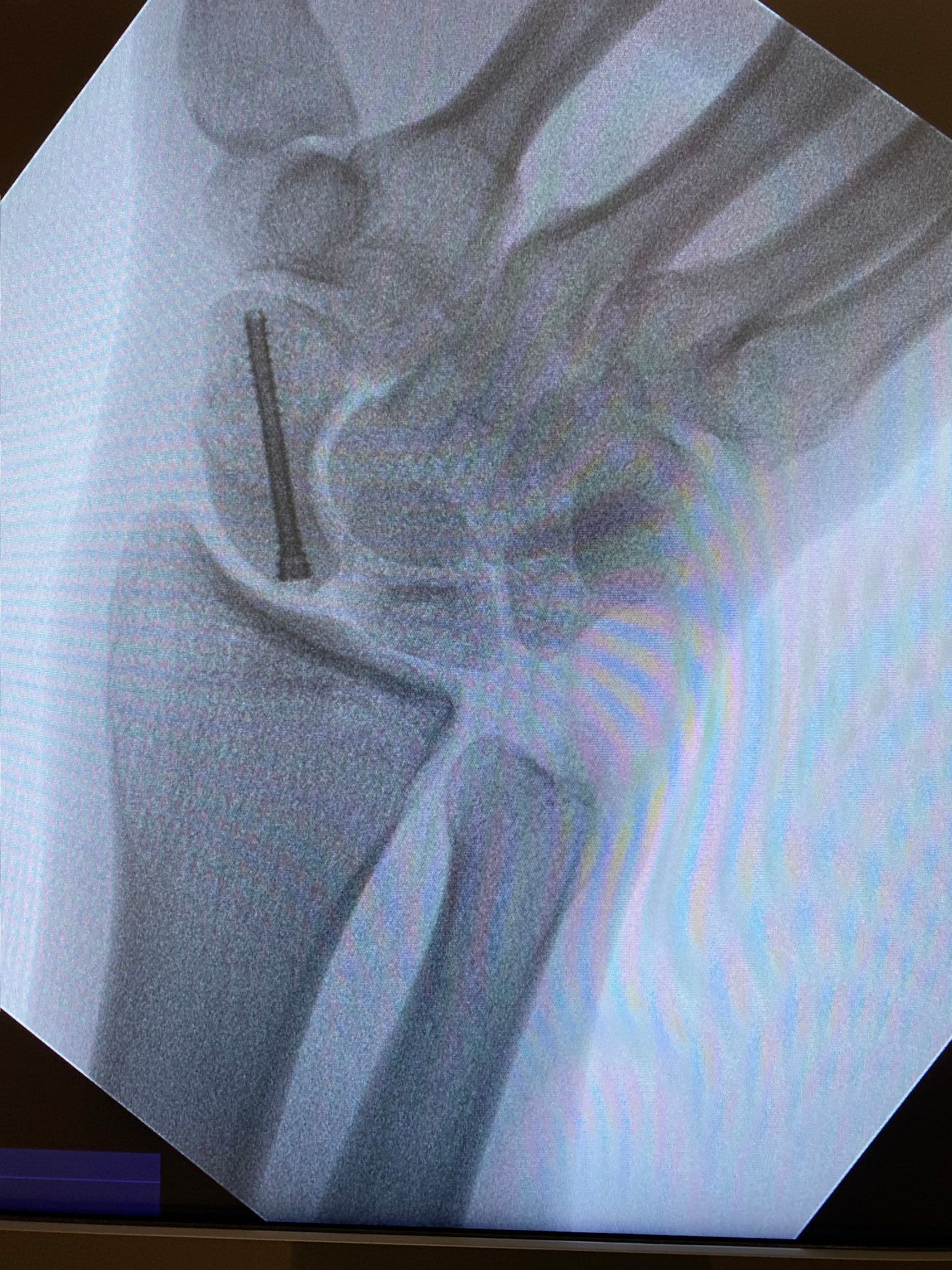
- De modo geral, o tratamento da fratura de escafóide será feito através do uso de um parafuso canulado inserido através de uma pequena incisão. Esse acesso pode ser na palma da mão ou no dorso do punho.
- Herbert e Fisher, em 1984, apresentaram os resultados de 158 pacientes operados com um parafuso de características diferentes dos demais, revolucionando o tratamento de escafóide. Esse tipo de parafuso apresenta passo de rosca da porção anterior do parafuso diferente do da porção posterior, possibilitando compressão da fratura
- Durante o ato cirúrgico, o cirurgião de mão utilizará um equipamento chamado radioscopia para guiar a introdução do fio guia e do parafuso. Através desse equipamento e de referências anatômicas, será definida a posição ideal do parafuso. Por exemplo, no plano coronal, um bom parâmetro radiográfico da posição distal do parafuso é o ⅓ da distância do lado radial do pólo distal do escafóide
Se está com dúvidas sobre a fratura de escafóide, consulte seu especialista de cirurgia de mão. A avaliação minuciosa e individualizada será fundamental para a decisão acertada!
Referências bibliográficas:
- Green's Operative Hand Surgery 8th Ed
- Rockwood and Green's 9th Ed
- Hand and Wrist Surgery 2nd Ed
- Atualização em Cirurgia da Mão - Traumatologia - Sociedade Brasileira de Cirurgia da Mão 1a Ed
- www.anatomystandard.com (https://www.anatomystandard.com/legal-docs/terms-of-use.html)
Continue aprendendo
Artigos relacionados



















